我的上排牙齿从小就有些外出,尤其是笑起来的时候会完全暴露出来,就因为这个自己经常不敢大笑。经过一段时间的考虑,还是去做整牙吧。杭州格莱美医院是朋友介绍的,据说他的姐姐就在这里做的整牙,效果特别好。女孩子真是越长大越爱美,小时候真的没在意过
我的上排牙齿从小就有些外出,尤其是笑起来的时候会完全暴露出来,就因为这个自己经常不敢大笑。经过一段时间的考虑,还是去做整牙吧。杭州格莱美医院是朋友介绍的,据说他的姐姐就在这里做的整牙,效果特别好。女孩子真是越长大越爱美,小时候真的没在意过这点。
杭州格莱美医院环境很好,特别的干净整洁。经过面诊,医生说我的牙齿还不是太严重,带上牙套矫正些日子就会有效果。听到这些自己就放心了。不亏是正规的整形医院,有一说一,不会让你花冤枉钱。以前还担心过矫正牙齿会很疼,其实戴上牙套后还可以接受。矫正牙齿是需要一个过程的,不能太着急,慢慢来吧。
我想说功夫不负有心人啊,牙套带着带着就习惯了,坚持两个月过来,感觉牙齿真的比之前整齐了一些,真的太开心了。自己每个月会来医院复查一次,医生态度也特别的好,真的超级满意。医生嘱咐戴牙套期间,要避免吃一些特别硬的食物。哈哈,没问题的,为了牙齿变漂亮就先忍一忍吧。
有好多人都羡慕我的牙齿白,等我的牙齿矫正好就更漂亮了,想想就开心。其实牙齿对我们来说还是特别重要的,它的美不美观,直接影响着我们的形象,如果你也有和我类似的情况就赶紧治疗吧。看着自己的牙齿变得越来越漂亮,自己也越来越自信了。
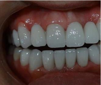
在杭州格莱美医院做整牙已经有9个月了,今天回医院复查,摘掉了牙套。看看我现在的牙齿是不是比之前整齐了很多,嘿嘿,真是太高兴了。以后露牙齿笑也会美美的。一次蜕变就这样成功了,真的要感谢帮我做整牙的医生。我相信自己以后生活会更加美好。
杭州格莱美医院整形项目价格表 | |
整形项目 | 价格参考 |
补牙 | 810-10703 |
镶牙 | 1498-10024 |
牙齿缺损修复 | 1428-10961 |
牙齿不齐 | 1344-11736 |
牙齿稀疏 | 1086-12568 |
坏牙 | 1305-11520 |
蛀牙 | 1238-12824 |
拔智齿 | 1086-10071 |
牙齿综合 | 1281-10786 |
根管治疗 | 1419-11368 |
牙周护理 | 1151-12469 |
牙渍 | 1147-12961 |
阻生牙 | 1495-12480 |
隐裂牙 | 1055-11440 |
多生牙 | 1340-11682 |
磨牙 | 1056-10383 |
塞牙 | 1471-11637 |
牙缝变大 | 1419-11877 |
龋齿 | 1450-10413 |
牙齿断裂 | 1272-12869 |
虫牙 | 1193-10541 |
牙洞 | 1220-11191 |
树脂补牙 | 1250-11156 |
浅龋 | 1425-11193 |
中龋 | 1410-10127 |
深龋 | 1329-10171 |
3M树脂补牙 | 1478-12979 |
烂牙 | 1148-12436 |
牙齿龋坏 | 1281-12102 |
微创根管 | 1080-10580 |
牙痛 | 1086-11533 |
牙磨损 | 1462-12665 |
牙脱位 | 1382-10998 |
牙齿外伤 | 1223-10494 |
超声波洁牙 | 451-2386 |
咖啡牙美白 | 420-2234 |
喷砂洁牙 | 301-2213 |
色素牙美白 | 438-8301 |
四环素牙美白 | 437-7106 |
洗牙 | 349-2133 |
牙齿冷光美白 | 458-2165 |
牙齿抛光 | 384-1598 |
牙齿漂白 | 450-2026 |
烟渍牙美白 | 454-2180 |
冷光美白 | 499-2385 |
皓齿美白 | 447-2065 |
牙黄变白 | 401-2072 |
氟斑牙美白 | 455-2225 |
变色牙美白 | 490-2373 |
黑牙美白 | 494-2170 |
茶渍牙美白 | 418-2400 |
牙美白 | 494-2335 |
半口牙种植 | 54865-132022 |
单颗牙种植 | 12950-31566 |
多颗牙种植 | 28090-188666 |
后牙种植 | 18691-54921 |
前牙种植 | 8397-33051 |
全口牙种植 | 90466-332751 |
种植牙/颗 | 8253-18500 |
瑞士ITI种植牙/颗 | 9767-18229 |
美国3I种植牙/颗 | 8899-19041 |
德国费亚丹种植牙/颗 | 8857-18736 |
瑞典诺贝尔种植牙/颗 | 9472-16810 |
德国贝格种植牙/颗 | 8216-19261 |
美国百康种植牙/颗 | 9860-17828 |
瑞典诺贝尔种植/颗 | 9429-16845 |
ITI瑞锆种植牙/颗 | 9325-18941 |
奥齿泰种植牙/颗 | 9586-17510 |
韩国登特斯种植牙/颗 | 8970-15938 |
韩国奥齿泰种植牙/颗 | 8216-15413 |
韩国登腾种植牙/颗 | 8310-17436 |
进口种植牙/颗 | 8404-19364 |
国产种植牙 | 5086-11827 |
以上价格仅供参考,实际价格请到医院面诊获取! |
注:本站信息和数据仅供参考,任何信息均不能作为诊断及医疗的依据,本站不承担由此引起的法律责任。
温馨提示:整形有风险,请谨慎选择。未满18周岁的青少年不宜做整形手术!
蜀ICP备19040417号-5Copyright © 2023-美啊美整形